
Don't think cosmetic dental treatments are affordable?
No matter your budget, Christopher LaFlair DDS PC has the right financing and payment plan to help meet your budget.
Traditional Braces - These three photo's show the dramatic difference that can be achieved with the proper alignment of the teeth. Photo 1 is before braces were placed. Photo 2 shows the patient with braces placed and photo three shows the teeth after the braces were removed. This case took about 18 months from start to finish.
Porcelain Braces - This is a case to close multiple spaces, correct the deep bite and large overbite. The patient in this case chose porcelain braces for the front teeth so they would not be as visible. The first photo shows the teeth before braces were placed. The second shows the patient with the braces in place and the final photo shows the teeth after the braces were removed. This case was completed in 14 months and a significant improvement in the alignment and fit of the teeth was achieved.
Clear aligner case - This is a case that we used clear aligners to align the teeth instead of traditional braces. There was significant crowding to the lower teeth and overlapping and flaring of the upper teeth. This case was completed in slightly over a year. A clear aligner is a series of clear trays that gradually moves the teeth like traditional braces. The trays are changed every two weeks and worn all day and night. The trays are removed for sports,eating and brushing. Adults typically prefer this because they are virtually not seen. They have some limitations compared to traditional braces but as you can see from this case they are able to treat fairly complex cases.
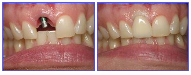
Implant Front Tooth - This is a case where the person had perfect teeth but lost a front tooth from an injury. Instead of doing a bridge and connecting it to the two perfectly healthy natural teeth next to the space we decided to have an implant placed. The first photo shows the implant in place and the second photo shows the crown that is placed over the implant. This is cemented in place and does not need to be removed. It functions like a natural tooth and saves having to drill on the perfectly healthy teeth next to the space.
Implant Bridge - This is a case where a person was missing several back teeth on one side and could not get used to wearing a removable partial. Photo one shows that two implants were placed. This would allow us to cement a permanent bridge to the implants. With no teeth to attach to in this case the only options available to add teeth would be implants or a removable partial, which the patient did not like. Photo two shows the 4 tooth bridge that was cemented to the two implants. In this case the patient was able to regain full chewing function to the left side by adding two implants. Implants provide a cosmetic and functional option to replace missing teeth.
Crowns - Many people who have spacing, crowding, crooked teeth, old fillings, chipped teeth and discolored teeth can benefit from having crowns done. There are various other options as well to correct these problems and each persons case unique. A crown is a metal substructure with porcelain covering it to look like a natural tooth. There are all porcelain options available as well if you prefer a metal free option. Our office provides both types of crowns and it depends on the individual case as to what material we select. There are two cases here that shows the before and after treatment with crowns. Crowns are not only cosmetic, they are much stronger and last longer than fillings.
Find the right treatment to enhance your dental health and appearance.
We provide comprehensive caring family dentistry and use the latest technological advances to provide a safe, comfortable and pleasant dental experience.






